ฟันสีดำคล้ำ ฟันตาย เป็นอีกหนึ่งภาวะที่อันตรายภายในช่องปาก แต่หลายคนอาจไม่เคยได้ยิน หรืออาจจะไม่รู้จักกับภาวะนี้ และเพื่อไขข้อสงสัยเกี่ยวกับภาวะฟันตายว่ามีลักษณะเป็นอย่างไร มีสาเหตุมาจากอะไร เพื่อป้องกัน และหลีกเลี่ยงกับปัญหา รวมถึงรักษาสุขภาพภายในช่องปากให้ถูกต้อง ทางศูนย์ทันตกรรม BIDC จะพาทุกคนมารู้จักกับ “ภาวะฟันตาย” ตามรายละเอียดด้านล่างนี้เลยค่ะ
สารบัญความรู้เกี่ยวกับฟันตาย [คลิกอ่านตามหัวข้อ]
ฟันตายคืออะไร?
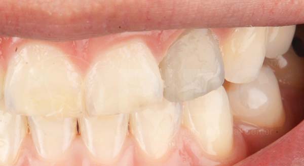
ฟันตาย คือภาวะที่เนื้อเยื่อฟันได้รับความเสียหาย เนื่องจากเลือดไม่สามารถไหลเวียนมาเลี้ยงได้ หากปล่อยทิ้งไว้โดยไม่รีบรักษาอาจเกิดการติดเชื้อจนทำให้เป็นหนองในเหงือก เหงือกบวม มีกลิ่นปาก หรือต่อมรับรสเพี้ยน โดยภาวะนี้อาจสังเกตได้ในเบื้องต้นจากสีของฟันที่เปลี่ยนไป

ลักษณะของอาการฟันตาย
ฟันเปลี่ยนสีเป็นสัญญาณแรกที่อาจสังเกตได้เมื่อฟันตาย โดยฟันที่ตายแล้วมักจะมีสีเปลี่ยนไปเมื่อเทียบกับฟันซี่อื่น อาจเปลี่ยนเป็นสีเหลือง สีน้ำตาลอ่อน สีเทา หรือสีดำ ซึ่งสีของฟันจะค่อย ๆ เข้มขึ้น หรือมีสีคล้ำมากขึ้น เมื่อประสาทฟันเริ่มตาย ทั้งนี้ บางคนอาจมีสีฟันขาวเหลืองที่อาจเกิดจากคราบอาหารได้เช่นกัน แต่สำหรับสีของฟันที่ตายแล้ว มักแตกต่างจากฟันที่มีคราบทั่วไป

เมื่อฟันเกิดการติดเชื้ออาจทำให้เหงือกบวม มีหนอง กดแล้วเจ็บ เจ็บขณะเคี้ยว ต่อมรับรสเพี้ยน มีกลิ่นปาก ลมหายใจมีกลิ่นเหม็น เสียวฟันอย่างรุนแรงเมื่อดื่มน้ำเย็นจัดหรือร้อนจัด และอาจมีอาการปวดหรือตึงบริเวณฟันร่วมด้วย ซึ่งหากพบอาการเหล่านี้ ควรรีบไปพบทันตแพทย์ทันที
คลินิกทำฟัน BIDC ทุกสาขา ติดรถไฟฟ้า BTS, MRT ใกล้คุณ
>> กลับไปที่สารบัญ <<
สาเหตุของฟันตายมาจากอะไร
โดยปกติแล้วฟันจะประกอบไปด้วยเคลือบฟันที่อยู่ชั้นนอกสุด มีหน้าที่ป้องกันเนื้อฟันที่อยู่ชั้นถัดมา โดยชั้นในสุดจะเป็นโพรงประสาทฟันที่เต็มไปด้วยเส้นเลือด และเส้นประสาท หากเส้นประสาท และเส้นเลือดบริเวณฟันได้รับความเสียหาย ก็อาจส่งผลให้การไหลเวียนของเลือดเกิดความผิดปกติ เมื่อเลือดไม่มีการไหลเวียนก็จะส่งผลให้เนื้อเยื่อฟันขาดออกซิเจน และสารอาหารจนทำให้เซลล์เนื้อเยื่อฟันตายในที่สุด

การบาดเจ็บของเส้นประสาท และเส้นเลือดในฟัน ยังอาจเกิดจากปัญหาฟันแตก หรือปัญหาฟันร้าว ซึ่งอาจเป็นผลมาจากอุบัติเหตุ การกระแทกจากการเล่นกีฬา การเคี้ยวของแข็ง และพฤติกรรมนอนกัดฟัน …คลิกอ่านต่อ
นอกจากนี้การขาดสุขอนามัยในการดูแลช่องปากที่ดี และโรคปริทันต์ขั้นรุนแรง ก็อาจส่งผลให้เกิดการติดเชื้อภายในเนื้อฟัน ทำให้เกิดการอักเสบ และฟันตายได้เช่นกัน
ข้อมูลเพิ่มเติม : โรคเหงือกหรือโรคปริทันต์ เหงือกอักเสบ เกิดจากอะไร? (คลิกอ่าน)
ปรึกษาปัญหาอาการฟันตาย กับทันตแพทย์ของเราที่นี่
>> กลับไปที่สารบัญ <<
ฟันตายรักษาได้ไหม?? – การรักษามีอะไรบ้าง
ภาวะนี้จำเป็นต้องได้รับการรักษาเร็วที่สุด เพื่อป้องกันการติดเชื้อแพร่กระจายไปยังฟัน หรืออวัยวะส่วนอื่น ๆ โดยวิธีการรักษาทางทันตกรรมมีดังต่อไปนี้
การรักษารากฟัน (Root Canal Treatment)
การรักษารากฟัน คือ การนำเนื้อฟันส่วนที่ตายออก และทำความสะอาดบริเวณที่ติดเชื้อ โดยทันตแพทย์จะเติมสารบางอย่างเข้าไปแทนที่เนื้อฟันที่นำออกไป วิธีนี้จะช่วยคงฟันซี่เดิมนั้นไว้ ผู้ป่วยบางรายที่เคลือบฟันสึกหรือบาง ทันตแพทย์อาจทำการครอบฟัน เพื่อป้องกันความเสียหายที่อาจขึ้นกับฟัน และรากฟัน โดยเฉพาะฟันกราม นอกจากนี้ ยังสามารถเลือกสีครอบฟัน เพื่อให้ดูสม่ำเสมอกับฟันซี่อื่นได้ด้วย ..คลิกอ่าน

สำหรับผู้ที่ไม่ได้ครอบฟัน อาจใช้วิธีการฟอกสีฟัน เพื่อปกปิดรอยคล้ำของฟันแทน เนื่องจากอาการฟันตายจะทำให้ฟันซี่นั้นสีเปลี่ยนไปเมื่อเทียบกับฟันข้างเคียง บางกรณีสีฟันอาจคล้ำขึ้นหรือเปลี่ยนเป็นสีน้ำตาล สามารถรักษาได้โดยทันตแพทย์เฉพาะทางรักษารากฟัน
ดูข้อมูลเพิ่มเติม : หมอฟัน ทีมทันตแพทย์ผู้ให้การรักษาทันตกรรม BIDC (คลิกอ่าน)
>> กลับไปที่สารบัญ <<
การถอนฟัน (Tooth Extraction)
สำหรับผู้ป่วยที่มีอาการติดเชื้อถึงขั้นรุนแรง หรือไม่สามารถใช้วิธีรักษารากฟันได้ แพทย์จำเป็นจะต้องทำการถอนฟันเพื่อนำฟันที่ติดเชื้อออก การรักษาด้วยวิธีนี้อาจส่งผลต่อความสวยงาม โดยเฉพาะอย่างยิ่งหากเป็นฟันซี่หน้า ซึ่งแพทย์อาจแนะนำการรักษาอื่นเพิ่มเติม เพื่อทดแทนฟันซี่ที่หายไปหลังจากการถอนฟัน …ดูข้อมูลทันตกรรมเพื่อความงาม (คลิก)

นอกจากการรักษาที่ตัวฟันแล้ว อาการปวดฟันที่พบอาจรักษาได้ด้วยยาแก้ปวดทั่วไป รวมไปถึงการหลีกเลี่ยงอาหารที่ก่อให้เกิดอาการปวดฟันหรือเสียวฟัน หรืออาหารที่มีกรดสูง เพราะอาจทำให้อาการรุนแรงขึ้น
ข้อมูลเพิ่มเติม : พฤติกรรมเสี่ยง! ที่ส่งผลเสียต่อสุขภาพในช่องปากและฟัน (คลิกอ่าน)
ภาวะแทรกซ้อนจากฟันตาย
การปล่อยภาวะฟันตายนี้ไว้โดยไม่เข้ารับการรักษา อาจทำให้การติดเชื้อลามไปยังฟันซี่อื่น เหงือก หรือกระดูกขากรรไกรจนทำให้เกิดอันตรายได้ อีกทั้งยังอาจกระตุ้นให้กระดูกปลายรากฟันละลาย และสึกกร่อนจนไม่สามารถรักษาได้ด้วยการรักษารากฟัน พร้อมลมหายใจที่มีกลิ่นเหม็นส่งผลต่อบุคลิกภาพ และความมั่นใจของท่านได้เช่นกัน

A title
Image Box text
การป้องกันฟันตาย
การป้องกันลดความเสี่ยงของการเกิดฟันตาย สามารถทำได้หลายวิธี เช่น
- รักษาสุขภาพช่องปากอย่างเหมาะสม แปรงฟันอย่างน้อย 2 ครั้งต่อวัน ร่วมกับการใช้ไหมขัดฟันอย่างน้อย 1 ครั้งต่อวัน ..(อ่านต่อ)
- รับประทานอาหารที่เหมาะสมต่อสภาพฟัน หลีกเลี่ยงอาหารที่แข็งเกินไป อาหารรสเปรี้ยว น้ำอัดลม หรืออาหารที่มีน้ำตาลสูง
- ดื่มน้ำเปล่าในปริมาณที่เหมาะสม เพื่อลดการสะสมของเชื้อโรค
- พบทันตแพทย์ทุก ๆ 6 เดือน เพื่อตรวจสุขภาพฟัน
- หากฟันได้รับการกระแทกหรือเสียหาย ควรไปพบทันตแพทย์หรือแพทย์โดยเร็วที่สุด
- สำหรับนักกีฬาที่เสี่ยงต่อการบาดเจ็บจากการได้รับแรงกระแทกสูงกว่าคนทั่วไป ควรสวมอุปกรณ์ปกป้องกันฟันหรือฟันยาง (Mouth Guard) ตลอดการเล่นกีฬา
- ผู้ที่นอนกัดฟันควรปรึกษาแพทย์ถึงวิธีที่จะช่วยลดอาการดังกล่าว เพื่อลดความเสี่ยงของภาวะฟันตาย
>> กลับไปที่สารบัญ <<
สรุป
เมื่อทุกคนทราบแล้วว่าฟันตายคืออะไร วิธีการรักษา และผลจากการไม่รักษาฟันตายเป็นอย่างไร ทุกคนไม่ควรละเลยกับเรื่องเล็ก ๆ น้อย ๆ และที่สำคัญเรื่องที่ทำได้คือการทำความสะอาดสุขภาพช่องปากและฟัน นอกจากจะต้องแปรงฟันให้สะอาดแล้ว ก็ควรใช้ไหมขัดเป็นประจำด้วย
นอกจากนี้การหลีกเลี่ยงการกัด หรือเคี้ยวของแข็ง ก็จะช่วยป้องกันไม่ให้เกิดอาการฟันตายได้เช่นกัน สังเกตุว่าสีฟันเปลี่ยน เข้มขึ้นเรื่อยๆ จนมีสีเทา หรือดำ นี่เป็นอาการหนึ่งของ ฟันตาย อันตรายร้ายแรงที่นำไปสู่การสูญเสียฟัน.. อย่ารอช้าค่ะ รีบไปพบทันตแพทย์ เพื่อทำการตรวจเช็คหรือรีบหาวิธีการรักษาให้เร็วที่สุด
ติดต่อเรา คลินิกทันตกรรม BIDC รัชดา
ศูนย์ทันตกรรม บางกอก อินเตอร์เนชั่นแนล เดนทัล เซ็นเตอร์
157, 159 รัชดาภิเษก ซอย7 ถนนรัชดาภิเษก แขวงดินแดง เขตดินแดง กรุงเทพฯ 10400 ประเทศไทย
โทรศัพท์ : +66 (2) 694 6400, +66 (2) 692 4433
อีเมล์ : contact@bangkokdentalcenter.com
Line ID : @bidcdental
สแกน QR Code ปรึกษาเราที่นี่






